- 当期目录
- 优先出版
- 最新录用
- 下载排行 过刊浏览
-
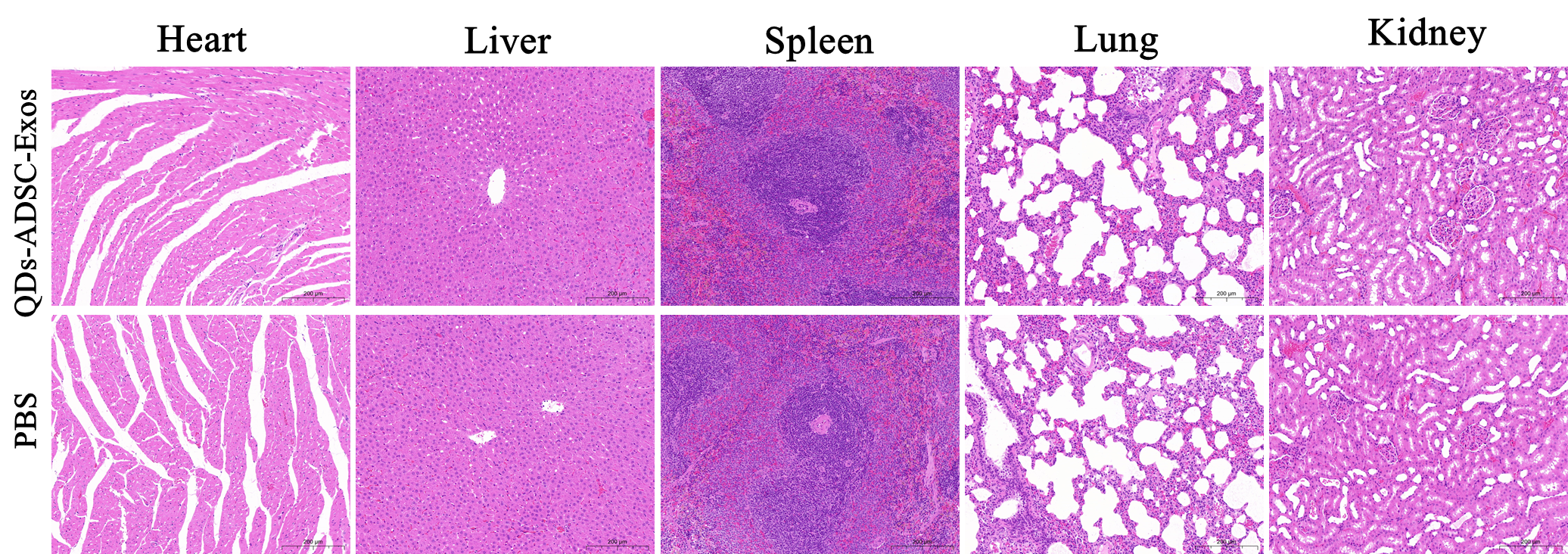
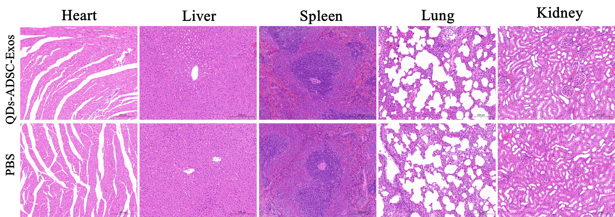
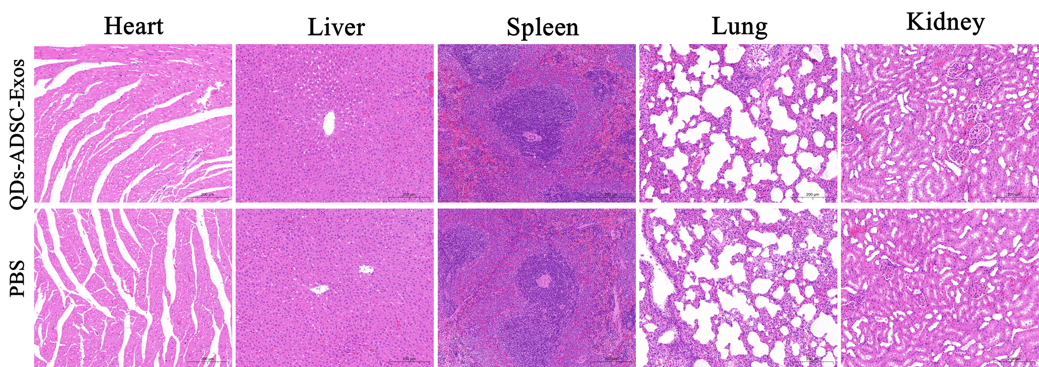
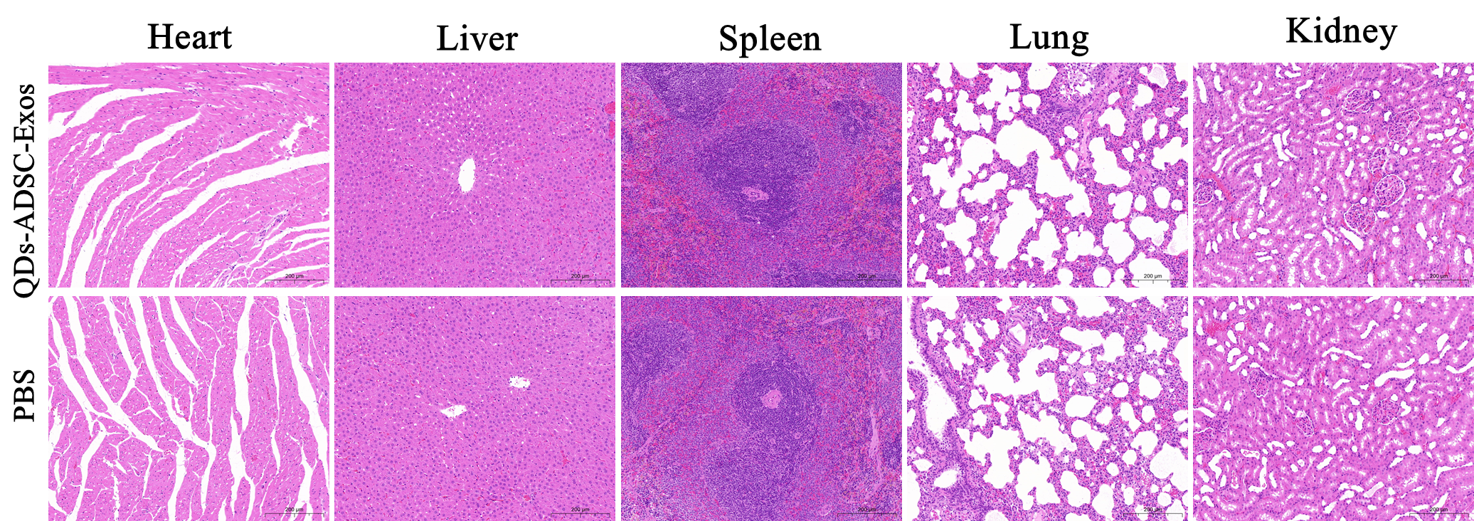
小仓心吾, 邵珂萌, 张晓, 李惠珠, 冯思嘉, 王月明, 陈俊, 吴德华, 沃雁
2025,44(5):631-640 ,DOI: 10.11972/j.issn.1001-9014.2025.05.001
Abstract:
缺血是影响周围神经损伤修复的重要因素,而外泌体被证实具有促血管再生作用。为了进一步研究外泌体治疗伴缺血周围神经损伤的细节过程与疗效,本文利用葡萄糖修饰近红外二区量子点标记脂肪干细胞来源外泌体(QDs-ADSC-Exos),实现外泌体治疗伴缺血周围神经损伤的活体近红外二区(NIR-II)长时程成像。实验结果证实量子点可用于体外无创标记外泌体,QDs-ADSC-Exos在NIR-II区间下显示出高强度荧光信号,在体内具备良好的NIR-II活体成像特性;QDs-ADSC-Exos在伴缺血周围神经损伤中表现为在神经损伤局部的聚集;神经功能学评估果表明,QDs-ADSC-Exos能促进有效神经功能再生。本研究证明外泌体在伴缺血周围神经损伤治疗中的潜力,也发现外泌体治疗伴缺血周围神经损伤的时空变化特征,为了进一步优化外泌体治疗方案提供了客观依据。
- 1
- 2
- 3
- 4
- 5
- 6
- 7
- 8
- 9
- 10
- 11
- 12
- 13
- 14
- 15
- 16
- 17
- 18
- 19
- 20
- 21
- 22
- 23
- 24
- 25
- 26
- 27
- 28
- 29
- 30
- 31
- 32
- 33
- 34
- 35
- 36
- 37
- 38
- 39
- 40
- 41
- 42
- 43
- 44
- 45
- 46
- 47
- 48
- 49
- 50
- 51
- 52
- 53
- 54
- 55
- 56
- 57
- 58
- 59
- 60
- 61
- 62
- 63
- 64
- 65
- 66
- 67
- 68
- 69
- 70
- 71
- 72
- 73
- 74
- 75
- 76
- 77
- 78
- 79
- 80
- 81
- 82
- 83
- 84
- 85
- 86
- 87
- 88
- 89
- 90
- 91
- 92
- 93
- 94
- 95
- 96
- 97
- 98
- 99
- 100
- 101
- 102
- 103
- 104
- 105
- 106
- 107
- 108
- 109
- 110
- 111
- 112
- 113
- 114
- 115
- 116
- 117
- 118
- 119
- 120
- 121
- 122
- 123
- 124
- 125
- 126
- 127
- 128
- 129
- 130
- 131
- 132
- 133
- 134
- 135
- 136
- 137
- 138
- 139
- 140
- 141
- 142
- 143
- 144
-
2025,44(5):641-653 ,DOI: 10.11972/j.issn.1001-9014.2025.05.002
Abstract:
相干拉曼散射显微镜凭借其化学特异性、无标记成像能力、高光谱分辨率和高灵敏度,被广泛认为是解决生物医学问题的强大工具。然而,相干拉曼散射成像技术的临床应用长期以来受到环境敏感性的影响和大体积固体激光器的阻碍。超快光纤激光器凭借其紧凑性和稳定性,能够有效克服这些缺点。文章对于光纤光源在相干拉曼散射成像中的不同实现方法和研究进展进行了评述,主要包括超连续谱光纤光源、孤子自频移光纤光源、光纤参量振荡器、同步光纤光源,并对未来发展进行了展望。
-
2025,44(5):654-662 ,DOI: 10.11972/j.issn.1001-9014.2025.05.003
Abstract:
近红外二区(the second near-infrared window,NIR-II,900~1 880 nm)荧光成像具有信号背景比高、穿透深度大的优势,在生物医学领域具有广泛的应用前景。对NIR-II成像窗口的划分有利于优化成像过程,其中,NIR-IIx(1 400~1 500 nm)成像窗口得益于其独特的水吸收,可以有效抑制散射背景,实现高对比度成像。文章通过仿真模拟和活体实验,系统评估了NIR-IIx窗口的成像潜力。为了更好地推进NIR-IIx荧光成像的临床转化,研究采用美国食品及药物管理局(FDA)批准的有机小分子染料吲哚菁绿(Indocyanine Green,ICG)作为荧光探针,利用其延伸至NIR-II的荧光发射拖尾,实现了高对比度和清晰度的小鼠血管和肠道的NIR-IIx成像。此外,研究还结合同样通过FDA认证的亚甲基蓝(Methylene Blue,MB),成功实现了高质量的NIR-II双通道成像,精准定位小鼠的血管和淋巴结。文章进一步挖掘了NIR-IIx在生物成像上的独特优势和临床应用的潜力,并为NIR-II荧光成像的临床转化提供了重要参考。
-
2025,44(5):663-670 ,DOI: 10.11972/j.issn.1001-9014.2025.05.004
Abstract:
在近红外二区(the second near-infrared window,NIR-II,900-1 880 nm)的荧光成像具有高信号背景比、高清晰度和优秀的组织穿透能力,是实时手术导航的理想选择。然而,对于单通道成像,外科医生不得不经常在手术区域和显示器上的NIR-II图像之间切换观察。为此,开发了一种共轴双通道成像系统,它可同时对可见光和1 100 nm长通的荧光成像。该系统采用定制的共轴双通道镜头并优化了畸变,实现了通道间图像的精确对齐,所测得的误差均小于±0.15 mm。此外,两通道共用了对焦镜组,因而简化了对焦操作。结合使用美国食品及药物管理局批准的吲哚菁绿为探针,成功实现了双通道导航的大鼠淋巴结切除和临床上对重建后皮瓣的血供恢复情况的评估。这种方法能让手术更为精准和高效,并为NIR-II荧光成像的进一步临床转化提供有价值的参考。
-
2025,44(5):671-679 ,DOI: 10.11972/j.issn.1001-9014.2025.05.005
Abstract:
高时空分辨率的多脑区同步成像是神经科学研究中的关键需求,然而传统多光子显微技术受限于单视场成像模式,难以实现跨脑区的大范围神经活动观测。多视场多光子成像技术通过物镜前/后光路的视场分割策略,结合波长编码、空间分光及时间门控等多维信号解析方法,有效突破了传统技术的时空分辨率限制。该技术可实现毫秒级时间分辨率与微米级空间分辨率的跨脑区同步成像,为揭示皮层间功能耦合、皮层-亚皮层神经环路协同机制以及全脑尺度神经信号传播动力学提供了全新研究范式。未来,通过与内窥成像、自适应光学像差校正、光刺激以及深度学习的图像解析等技术的深度融合,多视场多光子成像将进一步推动神经环路功能架构的精准解析,并在神经退行性疾病诊疗与脑机接口开发等临床转化领域展现重要价值。
-
张磊, 李笑然, 陈雯, 雷梁锌雯, 吴昊, 卢忠, 董必勤
2025,44(5):680-691 ,DOI: 10.11972/j.issn.1001-9014.2025.05.006
Abstract:
皮肤光学相干层析成像(Optical Coherence Tomography, OCT)为皮肤组织结构和病理特征分析提供了高分辨率影像基础。开发自动化图像分析方法(如分割与分类)对辅助皮肤病诊断及治疗评估具有重要临床价值,可为医疗决策提供定量支持。相较于传统方法和早期机器学习(Machine Learning, ML)技术,深度学习(Deep Learning, DL)显著提升了分析效率与可重复性,有效减少人工耗时。该文系统综述了当前DL技术在皮肤OCT图像分析中的应用进展,着重探讨其在图像降噪、皮肤分割和皮肤癌诊断中的技术路径,并指出该领域亟待解决的模型泛化性、数据异构性等问题,为后续研究提供理论参考与技术发展方向的指引。
-
2025,44(5):692-702 ,DOI: 10.11972/j.issn.1001-9014.2025.05.007
Abstract:
相干拉曼光谱及成像技术作为一种新型的无标记检测技术,凭借其高特异性、非侵入性等优势,已在生物医学、材料学等领域得到广泛应用。近年来,时间拉伸技术与相干拉曼光谱技术的结合,有效突破了传统光谱仪在采样速率和光谱范围方面的限制,为高速、宽带拉曼光谱及成像提供了新思路。本文首先阐述时间拉伸的基本原理及其理论,概述该技术在其他领域的应用成果,随后系统梳理基于时间拉伸的相干拉曼光谱技术的研究进展。最后对基于时间拉伸的相干拉曼光谱技术的未来发展进行了展望。
-
2025,44(5):703-719 ,DOI: 10.11972/j.issn.1001-9014.2025.05.008
Abstract:
脑创伤是危害人类健康最严重的疾病之一,灵敏快速的检测方式是对其进行准确有效治疗的有力保障。太赫兹波和拉曼光谱技术因其在技术上的互补性,在生物医学诊断等领域有着广泛的应用前景。本文针对脑创伤检测方面的需求和难点,总结了太赫兹波和拉曼光谱技术在脑创伤检测中的应用研究。首先介绍了太赫兹成像技术与光谱技术的发展现状,并分别介绍了两种技术在脑创伤检测中的应用研究;除此之外,文章概述了拉曼光谱的原理及分类,并讨论了拉曼光谱技术在脑创伤组织、体液及生物标志物检测中的研究进展。最后,文章对太赫兹波与拉曼光谱技术在脑创伤的检测中的发展趋势进行了分析,为太赫兹波与拉曼光谱技术应用于脑创伤的快速、准确诊断中提供了新的研究思路。
-
肖丰, 张晓秋艳, 程立, 许星星, 张天宇, 唐福, 胡涛, 胡旻, 刘盛纲
2025,44(5):720-725 ,DOI: 10.11972/j.issn.1001-9014.2025.05.009
Abstract:
牙釉质脱矿通常发生在龋病的早期。研究牙釉质脱矿的微观机制对预防和治疗龋病具有重要意义。太赫兹技术,特别是连续波太赫兹近场扫描显微镜技术,以其纳米级分辨率在生物医学成像领域具有广阔的应用前景。此外,与传统的太赫兹时域光谱相比,便携式固体源作为发射源具有更高的功率和信噪比,更低的成本,可以获得更精确的成像。在本研究中,我们利用连续波太赫兹近场扫描显微镜系统进一步突破了传统太赫兹成像技术的分辨率限制,成功实现了纳米尺度下脱矿牙釉质的近场成像。我们敏锐地观察到,随着脱矿的加深,牙釉质的近场信号明显降低,这主要是由于介电常数的降低。这一新方法为牙釉质脱矿的微观过程提供了有价值的见解,为龋病进一步的研究和治疗奠定了基础。
-
钟沁洋, 张晓秋艳, 王冉, 张天宇, 唐福, 蒋培都, 胡旻, 刘盛纲
2025,44(5):726-733 ,DOI: 10.11972/j.issn.1001-9014.2025.05.010
Abstract:
通过微结构、生物力学和生物化学等方式,成纤维细胞能够支持许多基本器官功能的实现。在过去几十年中,尽管荧光、光声转换和拉曼散射等技术取得了巨大进步,但它们的侵入性和有限的空间分辨率阻碍了成纤维细胞的单细胞表征。在这里,以小鼠胚胎成纤维细胞为例,基于太赫兹纳米显微镜提出了一种可以在单细胞尺度研究成纤维细胞成分分布的新方法。与表面形貌相比,太赫兹纳米成像可以实现小鼠胚胎成纤维细胞成分的可视化,如细胞膜、细胞质、细胞核和细胞外囊泡。值得注意的是,通过实空间方式观测了雷帕霉素处理对细胞外囊泡数量增加的影响。此外,截线和区域统计分析建立了不同细胞成分表面形貌和太赫兹近场幅值之间的对应关系。本工作为表征药物治疗效果提供了新途径,在疾病诊断和药物开发中具有潜在应用前景。
-
2025,44(5):734-744 ,DOI: 10.11972/j.issn.1001-9014.2025.05.011
Abstract:
三七作为珍贵中草药,其药效品质与皂苷含量密切相关,而皂苷含量呈现显著产地差异性。为准确鉴别三七产地并保障药材质量,该研究提出结合太赫兹精密光谱技术与卷积神经网络算法的新方法。实验收集中国云南省红河自治州、昆明市、曲靖市和文山自治州四个产区的40份三七样本,分别采用太赫兹光谱与高效液相色谱技术进行检测分析。基于获取的光谱和色谱数据,研究构建并训练了卷积神经网络模型以实现产地分类。实验结果显示,太赫兹光谱技术结合卷积神经网络模型的分类准确率达到92.5%,较高效液相色谱数据结合同类型模型的分类准确率(82.5%)提升显著。该发现证实太赫兹光谱技术在中草药成分解析与产地溯源方面具有应用潜力,为中药材的快速无损检测与精准识别提供了新型科学手段。
-
2025,44(5):745-751 ,DOI: 10.11972/j.issn.1001-9014.2025.05.012
Abstract:
采用了一种太赫兹超材料传感器,用于抗血栓药物波立维快速、精准检测,以满足药物含量监测对效率和灵敏度日益提高的需求。从波立维的太赫兹振动特性出发,确定其在1~3 THz频段的特征吸收峰。基于此,设计了一种具有双偏振谐振特性的超材料传感器,能够同时增强波立维两个特征吸收峰的传感信号。实验结果表明,该传感器在波立维定量检测中,通过建立的双指标判定模型,实现了高拟合度(R2>0.97)的定量分析,最低检测限为117.88 μM。总的来说,本研究提出的太赫兹超材料传感器在波立维含量监测中展现了优越性能,同时为临床药物监测和更广泛的生化样品分析提供了新工具。
-
2025,44(5):752-761 ,DOI: 10.11972/j.issn.1001-9014.2025.05.013
Abstract:
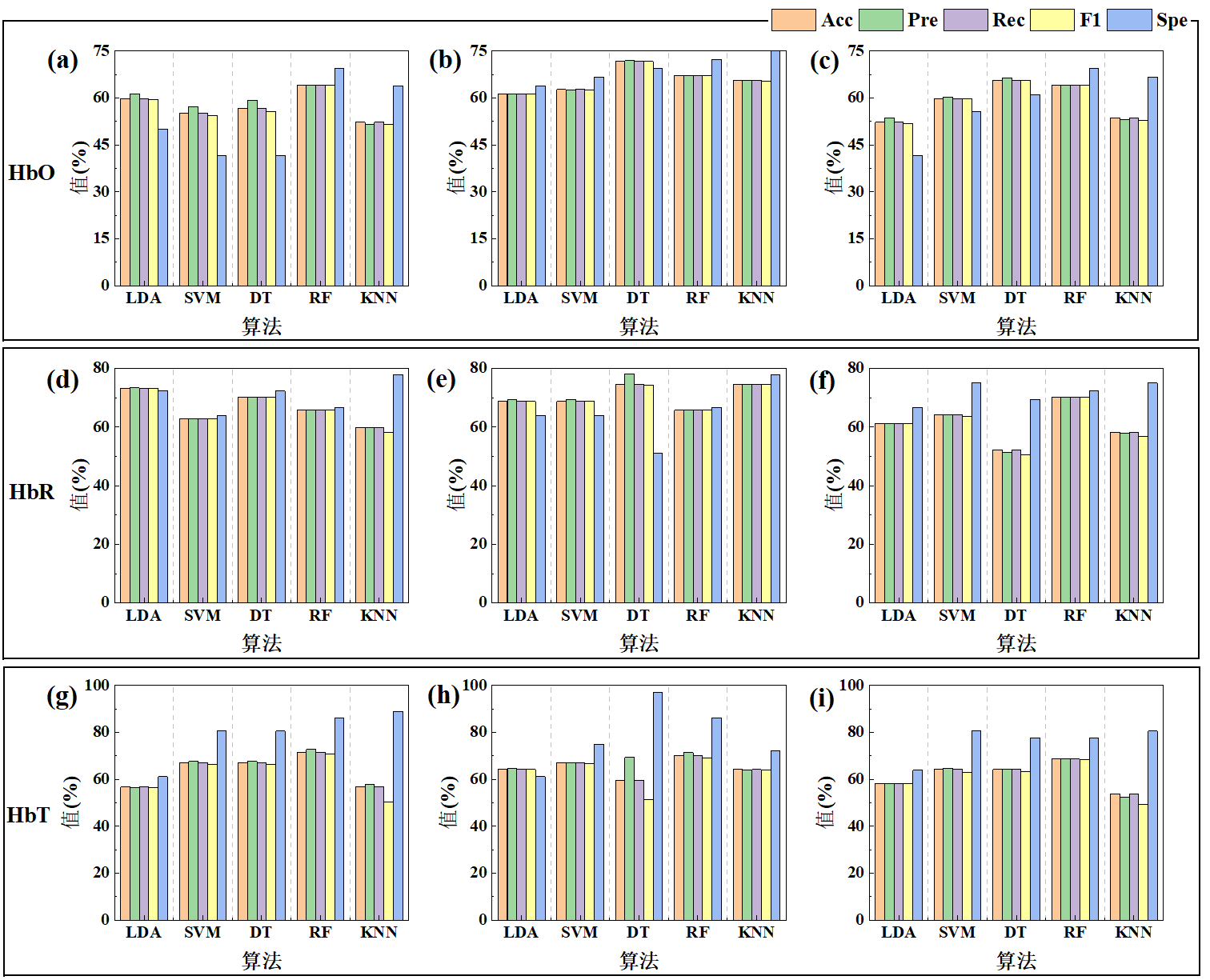
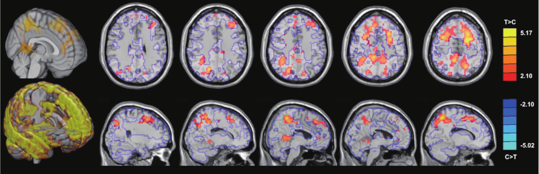
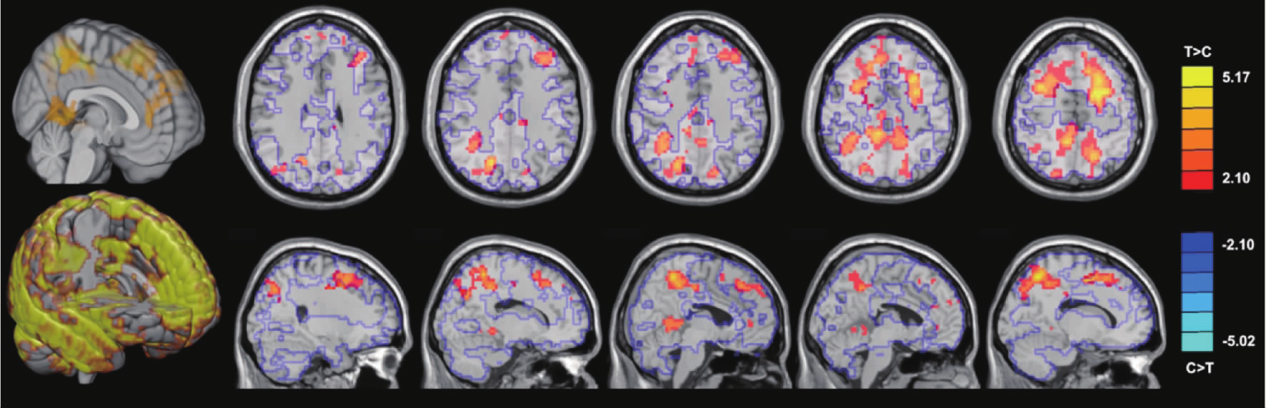
中枢性性早熟(central precocious puberty, CPP)主要由下丘脑-垂体-性腺轴提前激活引起,这会导致激素水平异常并引发大脑结构与功能变化,使CPP患儿的神经血管耦合机制在任务状态下与正常儿童不同。针对现有临床诊断存在假阴性、肥胖干扰和生理痛苦等问题,基于功能性近红外光谱(functional near-infrared spectroscopy, fNIRS)技术,对来自天津医院的167名儿童(正常85例,CPP患者82例)任务相关脑激活特征进行了分析,并构建了CPP辅助诊断模型。研究发现,正常组在心算(mental arithmetic, MA)期间的前额叶激活区域多于CPP组,女性激活区域多于男性。通过选取相关性出现频次最多和负相关幅度最大的两个通道的均值、方差、峰度和偏度作为输入特征,所构建模型的分类准确率达到79.1%。本研究为CPP的快速筛查及发病机理研究提供了新的重要参考。
-
2025,44(5):762-771 ,DOI: 10.11972/j.issn.1001-9014.2025.05.014
Abstract:
近红外光谱属于分子振动光谱,溶液温度变化会造成O-H等分子振动及氢键等分子间作用力改变,进而引起吸收光谱的强度及谱峰变化,影响血糖等微弱成分检测精度。为解决温度扰动对于光谱检测及建模分析的影响,提出一种基于水光谱组学与双光谱二维相关光谱(2T2D-COS)的温度扰动判别方法。对仿体溶液在温度扰动及葡萄糖浓度扰动下的漫反射吸收光谱进行2T2D-COS分析,提取温度和糖浓度变化造成的光谱变化特征,得到不同扰动下的水光谱模式。实验结果表明,温度变化0.1 ℃与葡萄糖浓度变化45 mg/dL强度相当。进一步建立基于原始光谱、水光谱特征和2T2D-COS异步谱的温度扰动异常光谱判别模型,其中基于2T2D-COS异步谱特征的判别模型准确率达到95.83%,剔除异常样本后葡萄糖浓度预测均方根误差降低了51.89%,为提高近红外光谱在体血糖检测的精度提供了基础。
-
许侍文, 吴华坤, 周崇秋, 吴晓虞, 杨朝凤, 吴琼, 刘雯, 邵杰
2025,44(5):772-780 ,DOI: 10.11972/j.issn.1001-9014.2025.05.015
Abstract:
呼气CO浓度作为一些疾病诊断的标志物备受关注,目前CO浓度检测仪存在灵敏度低,响应时间慢的问题。因此采用中心波长为4.59 μm的量子级联激光器和3.8 m多通池搭建一套基于吸收光谱技术的灵敏度高、响应时间快的呼气CO测量系统。采用直接吸收(DAS)和波长调制(WMS)技术对CO浓度检测分析,得到DAS的线性度为0.998,检测限可达3.68×10-8(体积比);WMS技术检测在CO浓度小于6.00×10-6的线性度为0.998,检测限可达3.00×10-9。通过Allan方差分析获得了DAS和WMS的最佳积分时间分别为170 s和250 s,对应的探测极限分别为2.00×10-9和3.00×10-10。最后对14个志愿者进行呼气CO检测,结果表明可以很好区分吸烟者和非吸烟者,为戒烟门诊判断吸烟者情况提供了科学有效的工具。
-
黄瑾, 张立福, 徐淑浩, 孙雪剑, 段宜杉, 赵之鹏, 翟浩然, 王倩
2025,44(5):781-789 ,DOI: 10.11972/j.issn.1001-9014.2025.05.016
Abstract:
概述了高光谱检测技术在烟叶品质关键参数无损检测中的应用研究进展。探讨了利用该技术对烟叶中的总糖、还原糖、总氮、烟碱、淀粉、氯和钾等化学成分进行快速检测的方法及装备。指出了不同烟草样本形态对光谱数据的影响。分析了高光谱技术在烟草田间管理、采收优化、在线分级等应用场景中的优势与挑战。提出了高光谱技术与人工智能结合构建烟叶化学成分预测模型的广阔前景,为提升烟草行业的检测效率和质量提供了科学依据与参考。
-
2025,44(5):790-800 ,DOI: 10.11972/j.issn.1001-9014.2025.05.017
Abstract:
本文介绍了一种基于ARM CPU的高速鲁棒的双波段热成像测温相机,该测温仪由低分辨率长波红外探测器、数字温湿度的传感器和CMOS传感器组成。针对热红外图像中人脸与背景对比度大的现象,本文探索了一种平衡了人脸检测精度与速度的折衷方案,并提出了一个超型轻量级热红外人脸检测,将之命名为YOLO-Fastest-IR。基于YOLO-Fastest设计了四种不同尺度的热红外人脸检测器YOLO-Fastest-IR0至IR3。为了对4个超轻量级网络训练和测试,本文还设计了一套多用户低分辨率热人脸数据集(RGBT-MLTF),并对四个网络完成了训练。实验表明,轻量级卷积神经网络在热红外人脸检测任务中表现出色。该算法在定位精度和速度上均优于现有的人脸检测算法,且更适宜部署在移动平台或嵌入式设备中。在红外图像(IR)中获取感兴趣区域后,根据热红外人脸检测结果对RGB相机进行引导,实现RGB人脸的精细定位。实验结果表明,YOLO-Fastest-IR在树莓派4B上的帧率高达92.9 FPS,在RGBT-MLTF测试集中人脸定位成功率达97.4%。最终实现了低成本、强鲁棒性和高实时性的测温系统集成,测温精度可达0.3 ℃。
-
李奕暄, 夏启铭, 陈国巧, 张译尹, 刘孝龙, Sofia Abdulkadir Adam, 金盛曦, 周凤彬, 林登峰, 钱骏, 樊潇霄, 林辉
2025,44(5):801-818 ,DOI: 10.11972/j.issn.1001-9014.2025.05.018
Abstract:
近红外二区(NIR-II,900~1 880 nm)克服了可见光(360~760 nm)和近红外一区(760~900 nm)成像的关键局限性,包括受限的穿透深度、低信噪比和高组织自发荧光,确立了其在体内深部组织生物成像中的关键作用。随着近红外二区光诊断和光疗研究在过去十年中呈指数级增长,文献计量分析对于绘制不断变化的格局和指导战略重点至关重要。我们系统地分析了来自Web of Science核心合集的2491篇与NIR-II相关的出版物(2009~2023),采用科学计量工具进行不同的分析目的:(a)VOSviewer、SCImago Graphica和Gephi用于合著和共现网络映射;(b)R bibliometrix包,用于跟踪领域演变和识别高影响力出版物/期刊。该搜索从来自54个国家的359种期刊中检索到2 491项研究。发表文章最多的国家是中国。中国机构推动了超过60%的出版物,斯坦福大学(美国)和南洋理工大学(新加坡)在研究质量方面排名前两位。国际合作日益频繁。范曲立、唐本忠、戴洪杰是该领域三位最具生产力的作家。关键词进化将“光动力疗法”和“免疫疗法”确定为未来的关键方向。我们总结了被引用最多的文献和NIR-II成像相关临床研究。本研究描绘了NIR-II的研究轨迹,突出了中国的领导地位、加强全球合作和跨学科融合。未来的工作应优先考虑新型NIR-II探针的开发,用于NIR-II成像和光动力/免疫治疗组合平台的临床转化。
2025年第44卷第5期
光学生物医学融合与成像技术的应用
-
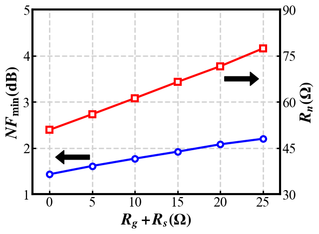
具有多周期渐变栅槽的高线性度AlGaN/GaN HEMT
何晓强, 魏珂, 张昇, 张一川, 郭嘉琦, 王开宇, 王建超, 麻转利, 王鑫华, 陈晓娟, 李彦奎
Abstract:
本研究提出一种具有多周期渐变栅槽结构(MCGGR)的新型高线性度AlGaN/GaN高电子迁移率晶体管(HEMT)。该MCGGR-HEMT通过优化电子束光刻(EBL)光刻胶回流工艺,沿栅宽方向制备出多周期渐变势垒层而实现。制备的MCGGR-HEMT因其在栅宽方向周期性多阈值器件并联而成功实现跨导补偿,展现出3.5V栅极电压摆幅,相较于常规器件的1.7V栅极电压摆幅扩展了1.8V。因其对2DEG沟道的连续渐变调制作用,使其高阶峰值跨导(Gm'和Gm")相较于常规器件分别降低37%和35%。MCGGR-HEMT在保证ft峰值的前提下,在更大的栅压范围内拥有更加平坦的ft曲线。在10 GHz的单音测量中(漏极偏压30V),功率密度为5W/mm,PAE为49%。同频点双音连续波功率测量中(双音频率间隔10MHz,漏极偏压30V),该器件实现了38 dBm的第三阶交调输出截点(OIP3)、63.1W/mm的OIP3/width,10 dB的线性度优值(OIP3/PDC)以及-57.7 dBc的第三阶互调失真(IMD3)。相较于常规器件,其性能分别提升5.2 dB、44W/mm、4.8 dB和13.7 dB。该创新方案与常规AlGaN/GaN HEMT制备工艺高度兼容,提供了一条简化且经济高效的技术路径,为提升器件线性度开辟了新途径。
-
基于可控衬底偏角调节SESAM缺陷:恢复动力学与光学性能优化
黄 婷, 熊 聪, 林 楠, 刘素平, 黄少茹, 袁庆贺, 王新伟, 张志刚, 马骁宇
Abstract:
半导体可饱和吸收镜(SESAM)是实现超快光纤激光器的关键器件,但其性能常受载流子恢复时间缓慢的限制。本研究探讨了衬底偏角([110]偏向0°、2°和6°)对金属有机化学气相沉积(MOCVD)在(100)GaAs衬底上生长的InGaAs/GaAsP SESAM的性能及锁模特性的影响。通过高分辨率X射线衍射(HRXRD)、原子力显微镜(AFM)、光致发光光谱(PL)和分光光度计进行综合表征发现,增大偏角会引入晶格缺陷,从而显著缩短恢复时间。然而,较大的偏角也会增加表面粗糙度和非饱和损耗,导致非线性吸收性能下降。在掺镱光纤激光器测试中,具有2°偏角的SESAM实现了稳定锁模,生成了1064 nm波长下8.2 ps的脉冲;而6°偏角的器件因材料质量下降表现出性能劣化。该研究为通过衬底偏角优化SESAM提供了重要见解,并为设计高性能超快激光器提供了实用指导。
-
SDDFusion: 分割与检测驱动的红外与可见光图像融合网络
Abstract:
红外与可见光图像融合旨在跨谱段整合热辐射与反射成像的互补信息,在复杂场景下同时突出显著目标并保留纹理细节,从而为人眼感知与机器视觉提供更全面的输入。为进一步提升融合图像质量及其在下游任务上的表现,本文提出一种分割与检测驱动的红外与可见光图像融合网络。该联合框架由融合网络与两条任务驱动分支构成:目标判别器与分割分支分别通过各自的损失函数引导融合网络保留更丰富的高层语义。为增强特征表征能力,我们设计了基于密集块的密集连接与梯度残差模块( DCGRM)用于深层特征提取;在解码阶段引入大核注意力(LKA)模块,以聚焦关键区域并降低信息损失,从而进一步提升融合图像质量。三组公共数据集上的实验表明,所提方法能够有效整合两种模态的优势,既突出显著目标又保留丰富细节;在多项融合指标上优于对比方法,并具备实时推理速度。此外,得益于与下游任务的协同设计,所提方法在分割与检测这类下游视觉任务上亦展现出性能优势。
-
长波碲镉汞1024×768(10μm)红外焦平面探测器
李雄军, 刘艳珍, 王世锦, 李培源, 李红福, 梁艳, 李根, 浦恩昌, 赵鹏, 姬荣斌
Abstract:
采用砷离子注入p-on-n平面结技术制备了长波碲镉汞1024×768(10μm)焦平面探测器组件,77K工作温度下器件后截止波长为9.61μm。在半阱条件下对探测器组件的基本性能进行了测试,结果表明器件黑体响应率非均匀性为4.15%,平均值NETD为28.5mK,有效像元率为99.81%。在长波碲镉汞1024×768(10μm)焦平面探测器芯片组表面设计和制备了专用的金属微结构,并对像元间串扰进行了表征分析,结果显示器件串音为12.3%,MTF为0.35。最后对探测器组件进行了室外场景和室内人物成像演示,均显现出较好的成像效果。
-
基于低分辨率光谱的二氧化碳反演算法研究
Abstract:
针对传统红外DOAS不能反演低分辨率光谱,高分辨率光谱仪造价高的问题,研究并开发了一套可用于低分辨率光谱反演的包络反演算法。通过研究吸收截面形状及光谱展宽,考虑低分辨率光谱反演并结合红外DOAS算法,开发了可实现低分辨率光谱仪反演大气CO?浓度的包络反演算法。与近红外超光谱遥感仪器相集成,于合肥市科学岛开展相关检测实验,利用LBLRTM辐射传输模型和HITRAN数据库,得到了一系列反演浓度数据并对其进行分析。结果表明传统红外DOAS算法不能正常反演,而包络反演算法可应用于低分辨率光谱仪中,反演残差优于1.05%,与TCCON站点数据的相关系数可达0.76。该研究提出了可用于低分辨率光谱反演的算法,突破传统红外DOAS算法的局限,为实现CO?低成本精准探测提供了一种新方法。
-
基于源尺寸效应补偿的外场红外辐射测量修正方法
Abstract:
红外热像仪在外场观测中受到源尺寸效应(Source Size Effect, SSE)与大气传输效应的共同影响,导致对观测目标亮温的低估。针对这一问题,提出一种面向外场观测条件的红外辐射温度联合补偿方法。该方法首先根据红外系统辐射响应的空间分布特性构建图像卷积滤波器,用于补偿因源尺寸效应与视场角变化引起的亮温衰减。进一步结合路径透过率与路径辐射参数建模,对目标辐射信号在传输过程中的大气衰减与背景辐射叠加进行修正,实现多源误差的联合补偿。为验证所提方法的有效性,首先在受控实验环境下采集不同尺寸与温度条件下的黑体热像图像,用于卷积滤波器的训练与精度评估;随后利用无人机载红外热像系统,开展多距离条件下的外场目标观测试验,以验证该方法在实际观测场景中的应用效果。结果表明,该方法可有效补偿源尺寸效应与大气影响共同作用下的亮温偏差。对外场多组观测距离条件下的目标图像进行温度恢复后发现,当目标在图像中的成像尺寸不低于4x4个像元时,联合补偿后的辐射温度误差可控制在±2%以内。该工作可以为提高外场目标红外辐射测温精度提供新的方法参考。
-
一种基于3D打印透镜封装的宽带太赫兹准光探测器
Abstract:
本文提出了一种基于3D打印透镜封装的宽带太赫兹(THz)准光探测器, 可覆盖220 GHz和340 GHz两个典型大气窗口. 该探测器由天线耦合探测芯片和3D打印透镜组成. 天线耦合探测芯片通过多层介质衬底封装, 肖特基二极管直接集成在片上天线的馈电端口. 片上集成的平面蝶形天线图案刻蚀在石英基底上, 工作频率范围为201–405 GHz, 兼具辐射器与射频(RF)扼流的功能. 该天线引入容性负载环路(CLL)以拓展工作带宽, 同时基本保持整体尺寸不变. 此外, 设计了高阻抗折叠的低频(LF)引线, 以实现有效的信号隔离和辐射耦合特性. 提出了一种低成本, 轻量化的3D打印透镜, 该透镜与埋置于多层介质层压板中的金属化反射器相结合, 实现天线定向辐射并增强整体结构的机械稳定性. 该探测器在200–230 GHz范围内的最大电压响应度为2200 V/W, 在320–350 GHz范围内的最大电压响应度为1885 V/W, 实测辐射方向图与仿真结果表现出较好的一致性.
-
基于金属、石墨烯和锑化铟的三调谐型吸波体设计
Abstract:
提出了一种基于金、石墨烯和锑化铟复合结构的可电、热、磁三调谐的双波段吸波体。结果表明,基于铜纳米棒的明模--明模耦合,双波段吸波体的吸收率可达95%。其物理吸收机制可通过辐射双振荡器模型(RTO)以及吸收峰处的电场强度分布进行理论分析。此外,通过调节石墨烯的化学势、锑化铟温度和外部磁场大小,可以实现吸波体吸收频率和吸收率的电、热、磁动态三调谐。最后,进一步讨论了模型参数对吸收性能的影响,以及吸波体作为折射率传感器的应用前景。本研究为多调谐型吸波体和传感器的设计提供了理论基础。
-
基于多模式增量型Sigma-Delta ADC的红外焦平面数字化研究
朱迅毅, 汪鸿祎, 杜爱博, 景松, 张永康, 付佳凯, 黄松垒, 邵秀梅
Abstract:
红外焦平面数字化读出电路是红外焦平面探测技术目前发展的重要方向之一,针对红外焦平面高速高精度多应用场景的需求,设计了一种3-bit量化器的多模式增量型Sigma-Delta模数转换器(ADC)新架构。通过将数据加权平均算法集成在3-bit量化器中,减小反馈回路中电容失配的影响、提高ADC的转换速度和精度;采用将多路选择器嵌入在CIC数字抽取滤波器中,实现支持不同转换速度和输出位数的ADC。基于180 nm CMOS工艺设计,完成了多模式增量型Sigma-Delta ADC的设计。仿真结果表明:在多模式工作下可以实现转换速度和输出位数之间的转换,ADC转换速度从12.5 ksps达到100 ksps,输出位数从15 bits达到24 bits;在50 ksps转换速度下,后仿真ADC有效位数达到了13.1 bits,每列ADC消耗电流仅为90 μA。
-
多波段与纹理特征融合的红外伪装性能评估模型
姜腾腾, 蔡子琨, 王锐, 徐雪荣, 曾永兴, 何鹄, 沈宏, 葛军, 江军, 王旭东, 王建禄, 褚君浩
Abstract:
随着红外探测技术与无人侦察平台的发展,战场目标的远距离探测和识别能力显著提升,传统伪装手段及伪装效果评价体系面临挑战。为实现更准确的伪装效果量化评估,需要兼顾多波段信息,并结合应用中的环境因素。本文提出一种融合视觉显著性与纹理特征的红外目标伪装性能评估方法。该方法基于图论视觉显著性(GBVS)模型提取目标与背景的显著性特征,并结合目标区域的纹理特征,通过线性加权构建统一指标,实现对伪装效果的综合判别。基于实测多波段红外图像(短波、中波、长波),从伪装状态、观察角度和时间条件等多维度开展实验。结果表明,该方法在不同波段与成像条件下均具有良好稳定性,评估结果与人眼感知一致,能够有效揭示伪装目标在复杂背景中的可探测性差异。研究成果可以为多波段条件下,红外伪装材料研制与红外目标发现系统的优化设计提供理论与工程支撑。
-
75-325 GHz宽带CMOS太赫兹外差探测器
Abstract:
本文基于180 nm CMOS工艺设计并实现了一款支持直接探测和外差探测两种工作模式的宽带太赫兹(THz)探测器芯片。探测器由环形天线、NMOS晶体管差分检波电路和阻抗匹配网络组成,面积为200×200 μm2。基于环形天线的双向辐射特性,提出了将射频(RF)与本振(LO)分置于探测器两侧的布局方案,该方案无需使用分束器耦合信号,从而避免了信号的衰减。LO信号由一个外部独立的太赫兹波源产生,与片内集成的LO相比,其在频率稳定性和输出功率等方面具有优势。为了抑制硅衬底的表面波损耗,芯片背面集成了一个直径d=12 mm、厚度t=8 mm的高阻硅透镜。测试结果显示,探测器的工作频率范围覆盖了75-325 GHz,外差探测噪声等效功率 (Noise Equivalent Power, NEP) 优于直接探测NEP 3个数量级以上。探测器在220 GHz频点下呈现出了最佳性能,外差探测NEP为6.26 fW/Hz,直接探测NEP为18.42 pW/Hz1/2。
-
LEO-LEO红外激光掩星大气成分探测系统设计
刘云猛, 黄硕, 李世钊, 郭慧君, 余婷, 王鑫, 刘洋, 楚晴, 成龙, 丁雷
Abstract:
掌握大气成分与要素在不同高度的分布特征,对于深入理解气候变化和应对气候问题具有重要作用。为了满足多大气成分(H2O、CO2、CH4、N2O、O3、CO等)和视线风速垂直廓线的探测需求,开展了红外激光掩星探测系统设计。在载荷设计方面,激光发射端设计采用宽谱段频率锁定激光光源技术,制造高稳定性的红外激光;激光接收端设计采用多光栅空间外差光谱探测技术,实现较宽谱段范围、高光谱分辨率探测,光谱范围覆盖2~2.5 μm,光谱分辨率优于0.15 cm-1。在数据应用与轨道仿真方面,基于Abel变换的红外激光掩星反演方法,可实现大气成分与要素廓线在UTLS区域的同步反演;并基于仿真模拟系统进行了掩星轨道设计,经仿真分析计算掩星事件发生频次可达到61次/天,并对单次事件的数据采集过程进行了合理设计规划。
-
太赫兹谐振器中的共面波导仿真
Abstract:
太赫兹光谱仪在太赫兹天文学中起着至关重要的作用。共面波导(CPW)是太赫兹光谱仪中的关键部件,相对介电常数是介电材料最重要的参数之一。它决定了器件的谐振频率和品质因子。由于CPW的结构复杂,很难获得精确的电磁场解,因此保角变换技术(CMT)被广泛用于获得等效介电常数的近似解析表达式。然而,当涉及薄膜电介质时,情况会有所不同。本文利用高频结构模拟器(HFSS)获得了基于谐振器结构的CPW的等效介电常数,并将其与保角变换技术得到的等效介电常数进行了比较。通过模拟仿真提供表征薄膜电介质的可能性。
-
基于介质超构表面的动态太赫兹波调控
Abstract:
我们成功利用介质超构表面调控太赫兹(Terahertz,THz)波。通过以不同光波长泵浦,超构表面以模式选择或非选择的方式对太赫兹波进行调制。改变激发的光子能量时,我们可以观察到不一样的透射率弛豫过程,反映了硅的能带特性。我们研究发现另一个可以实现光操控的外部调控手段是通过变化泵浦光延迟位移台的光程,主动控制超构表面的功能,实现太赫兹偏振态的连续调节,并提供了相关的物理解释。我们研究表明泵浦光激发能够成为动态调控太赫兹波的有效外部手段,有利于多样化的超构表面器件研发。
-
太赫兹闪耀光栅的激光自混合干涉表征技术研究
Abstract:
报道了一种工作于利特罗条件下的反射式闪耀光栅的设计制作及其表征与测试方法。光栅采用锯齿状结构,通过机械刻划工艺进行加工。其结构参数的表征与性能测试采用太赫兹量子级联激光器结合自混合干涉效应的方法,获得了光栅常数与闪耀角的非接触式测量,分别为84.89 μm和24.9°,并在太赫兹波段内展现出0.117 rad/THz的角分辨率和71%的最高反射效率,测试结果与理论设计基本吻合。该方法通过反馈信号直接解析光栅参数,在测量速度上有较大提升,为光栅的实时动态表征提供了新的途径。
-
锗基p-i-n结构阻挡杂质带长波红外探测器的温度影响机制
陈天业, 刘赤县, 王泽欣, 胡清智, 潘昌翊, 窦伟, 凌静威, 刘晓艳, 朱家旗, 邓惠勇, 沈宏, 戴宁
Abstract:
深低温工作的BIB(阻挡杂质带)探测器在红外天文空间探测等领域具有重要应用价值,然而关于其温度依赖机制的研究仍较为有限。文章采用近表面处理技术,制备了一种基于高纯锗材料的平面p-i-n结构BIB长波红外探测器,在较高温度下表现出优异的电学与光电响应性能,将传统BIB结构探测器的工作温度提高了约10 K。在3.3?K温度下,器件反偏暗电流低至15pA;随着温度升高,器件在黑体条件下的探测率呈下降趋势,但在温度不高于15K时变化不明显,最高可达3.5×1012?cm.Hz1?2.W?1。通过引入包含光激发、热激发与碰撞电离过程的电流模型进行模拟,并与实验数据对比,发现温度升高导致耗尽区显著收缩,从而降低载流子收集效率,是性能下降的主要机制。该研究为低温红外BIB探测器的结构设计与性能优化提供了理论支撑与实验依据。
-
基于FTIR的InAs和GaSb衬底低吸收区域吸收系数特性研究
Abstract:
作为中波红外(3-5 μm)与长波红外(8-12 μm)波段的重要候选材料,GaSb与InAs半导体展现出显著的光电特性优势。然而,其固有的低吸收特性使得传统透射光谱技术因多重透射效应干扰,难以实现吸收系数的精确表征。本研究创新性地利用傅里叶变换红外光谱技术,构建反射-透射联合分析模型,成功提高了低吸收区(α<10 cm?1)的测量准确度。通过系统研究掺杂浓度为2.46×101? cm?3(InAs)和8.76×101? cm?3(GaSb)的样品,发现8-18 μm波段自由载流子吸收行为呈现显著散射机制依赖性:声学声子散射与电离杂质散射共同主导该波段的吸收过程。定量分析表明,GaSb的散射参数较InAs存在数量级差异,其电离杂质散射系数提升10倍,声学声子散射系数更呈现450倍的剧烈增强。该反射-透射联合分析方法的提出,为解决低吸收材料光学参数表征难题提供了新的技术方案。
-
基于局部极值度量的短波红外偏振空中无人机目标检测
Abstract:
无人机检测在民用及军事领域均具有重要价值,然而传统红外探测系统易受背景杂波的干扰。红外偏振成像技术通过将偏振数据与红外成像相结合,为解决该问题提供了新途径。但偏振图像与红外图像的差异性为目标提取引入新的问题,因此本研究引入了一种基于尺度自适应局部极值度量(ALEM)的新型检测算法。该算法引入改进SUSAN算子快速提取感兴趣区域,估计该区域内潜在目标的特征尺度,并针对偏振图像特性提出ALEM算法,通过分析像素邻域特征实现对比度测量。基于真实场景偏振图像数据集的实验结果表明:该算法的信杂比增益相较于基准方法提高了2.7倍,背景抑制因子提高了8.6倍,且能以20 fps运行,它具有优异的检测性能、鲁棒性和实时检测的能力。
-
高精细度硅超稳光学参考腔的自主研制
焦东东, 高静, 吴攀, 邓雪, 吴梦凡, 张林波, 许冠军, 臧琦, 崔杰, 董瑞芳, 刘涛, 屈波, 张首刚
Abstract:
本工作展示了自主研制高精细度硅超稳光学参考腔。硅材料具有卓越的热稳定性、较低的机械损耗以及优异的振动不敏感度。通过优化加工工艺,有效解决了硅材料脆性和各向异性带来的关键制造挑战。采用三级抛光技术,实现了超光滑表面,粗糙度达到埃级(RMS)。高反射膜采用SiO2/Ta2O5作为涂层材料,通过离子束溅射沉积法制备。通过腔线宽测量的方法显示其精细度约为340,000,与国际顶尖水平相当。这些结果表明中国独立开发高性能硅基超稳光学参考腔的能力。这一进展对光钟和引力波探测等精密应用具有重要意义。
-
基于红外弱小目标的红外测量系统标定和辐射特性反演
Abstract:
随着红外探测技术在军事侦察、航天监测和安防预警等领域的广泛应用,红外测量系统在红外探测技术中起着关键的作用。针对红外测量系统标定与辐射特性反演中存在的标定效率低、环境干扰大等问题,提出了一种基于红外弱小目标的测量系统标定及辐射特性反演方法。采用小面源黑体作为可控辐射源投射红外目标,通过深度学习网络对红外弱小目标的精准识别与灰度提取。并以此建立测量系统标定模型。试验结果表明,该方法在298K-308K范围内标定稳定性良好,辐射特性反演绝对误差控制在±2K范围内,且反演温度相对误差≤0.5%。回归分析也表明了温度反演精度较高(R2>0.94)。相较于传统方法,本文方法兼顾了标定效率与精度,并扩展了对目标的温度场反演能力。研究为红外弱小目标的快速标定与高精度辐射特性分析提供了有效解决方案,在军事侦察、航天监测等领域具有应用潜力。
-
基于混合辐射偏振模型的空中目标红外偏振特性建模和仿真
Abstract:
面向空中高速目标红外偏振探测需求,针对空中目标红外偏振特性的计算和图像生成问题,本文提出适用常见高速目标红外偏振特性的计算方法和仿真流程。该方法基于混合辐射偏振模型,综合考虑目标表面自身热发射、太阳辐射反射、环境辐射反射及大气传输效应,建立了空中目标红外线偏振度(DoLP)计算模型框架并给出了具体材质的模型实例化方法,所建材质样板DoLP计算值与实测值偏差小于10%。仿真流程以高速飞行的SR-72侦察机为例,基于目标材质样板偏振计算模型生成的反射/辐射率矢量数据,借助Unity3D引擎实现了SR-72目标红外偏振特性的实时计算仿真,图像帧率达到35帧/s,生成了不同飞行速度、探测波段(中波/长波)和太阳光照(存在与否)条件下SR-72的红外偏DoLP图像,分析了目标红外偏振特性的部分变化规律。本研究为空中目标红外偏振探测及相关评估应用提供数据基础和仿真支撑。
-
面向通感一体化应用的多通带大频比微波/毫米波传输线、天线与无源元件
Abstract:
介绍了通感一体化(Integrated sensing and communication,ISAC)的基本概念、原理和发展现状,综述了现阶段适用于ISAC应用场景的多通带大频比微波/毫米波传输线、天线和无源元件(主要包括滤波器和耦合器),对比分析了这些多通带大频比结构的不同实现方式和制造工艺,总结了不同设计方案的技术特征、射频性能及优缺点,本综述为进一步研究面向ISAC应用的高性能微波/毫米波前端组件提供了丰富多样的参考。
-
InAs/GaInSb长波红外超晶格材料外延生长研究
李 琛, 蒋洞微, 徐应强, 倪海桥, 王国伟, 吴东海, 郝宏玥, 牛智川
Abstract:
InAs/GaInSb II类超晶格材料在长波与甚长波红外探测器领域展现出显著优势。通过优化分子束外延生长参数和界面调控技术,在GaSb再构转变温度下成功制备了50周期的10MLInAs/7MLGa0.75In0.25Sb短周期超晶格材料。利用高分辨率X射线衍射(HRXRD)表征,测得该超晶格的晶格常数为6.108 ?,周期厚度为53.53 ?,与理论设计值的偏差小于0.2%,且与GaSb衬底的失配度仅为0.197%。原子力显微镜(AFM)测试表明材料表面均方根粗糙度(RMS)为1.67 ?,光致发光(PL)谱测得带隙为89.92 meV。在此基础上外延得到了12MLInAs/5MLAl0.8In0.2Sb超晶格势垒材料,与GaSb衬底失配度为0.067%。实验结果表明,所制备的10MLInAs/7MLGa0.75In0.25Sb超晶格以及12MLInAs/5MLAl0.8In0.2Sb超晶格与GaSb衬底具有较好的晶格匹配性,其多级次级衍射峰特征和优异的界面质量进一步证实了材料结构的完整性。这些发现为高性能红外探测器的开发提供了重要的材料基础。
-
用于宽带毫米波直接探测的极化角度扫描方法
Abstract:
毫米波技术因其对衣物的良好穿透能力和对人体的辐射安全性,在人体安检领域得到了广泛应用。然而,现有技术多采用固定极化模式,忽视了目标回波随入射极化的变化中可能蕴含的潜在信息。本文从理论上分析了线极化条件下目标交叉极化回波功率随入射极化角度的变化规律,并基于多层介质的传输特性将直接探测中的深度谱模型拓展到多层介质情况。在此基础上,通过入射极化角度扫描获取多个深度谱,提出了极化角度-深度矩阵,用于在直接探测中对目标极化角度和深度两个维度上的特性进行表征。仿真和实验验证了上述分析的准确性以及在人体安检场景隐藏武器探测中的实用价值。
-
基于MXenes/微构造硅异质结光电探调控特性研究
廖鹭鹭, 徐彩霞, 刘高睿, 林长青, 李璐芳, 孙海彬, 杨星, 许龙
Abstract:
表面微构造硅独特的光学特性在光电传感器、太阳能电池等领域展现出广阔应用前景。为进一步探索基于其表面结构的光电调控作用,本文报道了一种基于MXenes(Ti3C2Tx)的光电特性与微构造硅基底表面结构,通过旋涂等工艺手段,构筑硅基表面调控的新型异质结光电探测器。对比研究商用硅、微构造硅及Ti3C2Tx/微构造硅器件在不同波长/功率光辐照下的I-V特性及光电响应特性,发现Ti3C2Tx/微构造硅光电探测器在200-1750 nm波段的外量子效率和响应率均显著优于商用硅和微构造硅探测器。其中在近红外波段(1100-1750 nm),该器件也表现出更优越的性能指标,其外量子效率超1000%,响应率大于10 A/W。相比之下,同波段内商用硅探测器的外量子效率小于10%,响应率不超过0.3 A/W;微构造硅探测器的外量子效率小于15%,响应率不超过0.08 A/W。动态响应及偏压分析表明,Ti3C2Tx涂层凭借高导电率及与微构造硅形成的异质结内建电场,显著增强近红外至中红外波段探测能力,响应时间由38 ns缩短至20 ns。该异质结在光通信高速探测、激光雷达、光传感等领域展现出广阔应用前景。
-
基于棋盘采样透镜阵列的分段平面成像系统的成像特性研究和优化
Abstract:
仿真模拟了分段平面成像系统的成像特性,基于棋盘式透镜采样阵列,探讨了系统结构参数对成像结果的影响,并给出了成像系统的最佳参数。在此基础上,创新性地采用了高光谱图像,详细研究了自然场景下干涉光谱宽度对分段平面成像系统成像质量的影响,指出实际应用场景中容许的干涉带宽应不大于100 nm。研究内容不仅对棋盘式成像仪的开发具有指导意义,其中基于真实场景的容许带宽和误差分析的讨论对所有的分段平面成像系统都具有启发性。
-
基于侧栅AlGaN/GaN HEMT的共振探测太赫兹探测器
靳晨阳, 康亚茹, 李叶然, 颜伟, 宁瑾, 赵永梅, 李兆峰, 杨富华, 王晓东
Abstract:
高电子迁移率晶体管(HEMT)太赫兹探测器由于栅宽过大,会导致沟道中产生杂散等离子体波模式,造成共振探测响应信号微弱,以及响应峰展宽。针对上述问题,提出一种侧栅HEMT(EdgeFET)结构。基于传统HEMT的二维电子气(2DEG)流体动力学方程,建立了侧栅器件的共振探测模型。制备了侧栅HEMT探测器,并在77 K下进行了太赫兹共振探测实验。实验结果表明:EdgeFET在77 K下展现出明显的共振响应,共振响应度可达到最大非共振响应度的3.7倍。实验数据与理论模型拟合良好,验证了模型的准确性。实验结果充分证实了侧栅HEMT在提升探测器共振性能方面的有效性,为开发下一代高性能太赫兹探测器提供了新的技术途径。
-
基于大面积半金属碲化铂的高性能太赫兹探测器
黄德宝, 周 炜, 黄敬国, 邱琴茜, 江林, 姚娘娟, 高艳卿, 黄志明
Abstract:
太赫兹(THz)探测器是实现光电转换的核心,是现代信息社会的基础之一。基于CVD法生长了大面积PtTe2薄膜,制备了不同沟道长度的太赫兹探测器。对器件的测试结果表明,器件响应与偏置电压和功率呈线性相关,响应率与沟道长度和频率呈负相关。器件出现的特征与基于电磁诱导势阱(EIW)效应的计算结果一致。基于EIW效应的器件具有~7.6微秒的快速响应时间,在有限偏置下的噪声等效功率(NEP)优于7.9×10-15 W/Hz0.5,比探测率D*优于9×1010 cm·Hz0.5/W,优于目前已报道的基于半金属PtTe2的探测器。
-
采用自适应背景滤波的距离徙动算法毫米波成像
Abstract:
本文针对近场毫米波成像中目标与背景间距很近的情况,提出了一种采用新型自适应背景滤除的距离徙动算法(RMA)。该方法模拟了人工智能(AI)中所采用的人类视觉系统的注意力分配模式,即注意力机制。基于静态杂波滤除的概念,将扫描孔径的频域信号划分为网格单元。通过分析各单元内的运动过程来建立背景散射函数,然后对背景干扰进行线性滤除。对背景散射干扰在算法中的表现形式展开了分析,并研究了网格单元尺寸对成像质量的影响。实验结果表明,所提方法具备提高目标和背景信噪比的能力,它能有效抑制背景干扰,使图像更加清晰突出,同时不会产生过高的计算负荷。该方法为提升毫米波成像技术在实际应用中的性能提供了一种新的解决方案。
-
柔性低损耗高可靠性聚酰亚胺中红外空芯光纤的制备及其CO2激光传输性能研究
余烁颖, 祝润苗, 刘晟, 查志鹏, 张擎天, 侯广宁, 费楹迪, 刘少华, 敬承斌, 褚君浩
Abstract:
空芯光纤传输CO2等中红外激光在传输损耗、弯曲性能和可靠性方面还存在诸多挑战,限制了其在激光医疗、柔性工业加工和气体传感等方面的应用。利用等离子体活化聚酰亚胺(PI)结构管和动态液相沉积工艺研制了PI/Ag/AgI界面结合强度高的柔性低损耗中红外空芯光纤。研究表明,等离子体处理后,PI表面的氮碳键转为氮氧键,并引入羧基等活性基团,在未明显增加表面粗糙度的情况下提高了表面亲水性和PI/Ag/AgI界面结合强度(由0级提升至2级)。所制备的2 mm内直径PI空芯光纤在8~15 μm具有低损耗窗口,传输10.6 μm波长CO2激光的直线损耗低至0.05 dB/m,以20 cm半径弯曲180°时损耗仅上升至0.55 dB/m。光纤样品在150℃传输30瓦CO2激光300 s未见损伤,经过400 min抗振动测试以及120 min高低温(150/-196℃)处理后损耗保持稳定,具有实际应用价值。
-
对InAs复合沟道HEMT中跨导曲线异常偏移的峰分离和小信号模型分析
巩永恒, 陈宇轩, 史劲元, 张大勇, 苏永波, 丁武昌, 金智, 丁芃
Abstract:
本文成功制备了栅长为100 nm、具有InGaAs/InAs/InGaAs复合沟道的磷化铟基高电子迁移率晶体管(InP HEMTs)。直流测试表明,InAs沟层的引入提升了跨导,但导致跨导峰值点在高漏压(Vds)偏置下向低栅压(Vgs)方向偏移。通过峰分离分析,发现直流跨导曲线由两部分构成:栅压调控的本征跨导和碰撞电离诱导的附加跨导。进一步研究表明,该异常偏移源于沟道碰撞电离强度的变化,而这种变化主要由栅漏电场改变引起,而非沟道载流子浓度的变化。小信号模型中引入的两个额外电流源表征碰撞电离跨导,其数值变化趋势与峰分离结果的一致性验证了机理的正确性。射频测试证实,尽管直流跨导有所提升,但由于碰撞电离跨导的时间常数远大于一般跨导的时间常数,器件射频特性未能得到有效改善。这些发现为抑制碰撞电离效应及提升有效跨导提供了理论基础,对优化InAs沟道HEMT设计具有重要指导意义。
-
基于热载流子光热电效应的室温高灵敏Bi2Te3太赫兹探测器
Abstract:
高性能非制冷太赫兹(THz)探测器在许多技术领域都有广泛应用,如高速率数据通信、实时成像、光谱学和传感。然而具备高灵敏度和快速响应能力的室温太赫兹探测器依然比较稀缺。近年来,二维材料中的热载子光热电效应被发现可以用于太赫兹和长波红外的室温高速高灵敏光探测。在这项研究中,作者构建了基于高性能二维层状热电材料Bi2Te3的室温太赫兹探测器,该器件采用领结天线作为非对称光耦合器,利用热载流子光热电效应实现零偏模式下的太赫兹光探测。结果表明,基于Bi2Te3的太赫兹探测器具有优异的太赫兹探测性能,在100 GHz频段辐射下的响应率和噪声等效功率分别为0.45 A/W, 17 pW/Hz1/2, 并实现了12 μs的快速响应时间。该工作展示了基于热载流子光热电效应的Bi2Te3太赫兹探测器在实现高性能非制冷太赫兹探测器上的良好应用前景。
-
连续波工作的耦合双光栅太赫兹量子级联线激光器
谭诚, 邹婷婷, 臧善志, 王凯, 甘良华, 曹晨涛, 陈炳奇, 陈宏泰, 张月蘅, 房玉龙, 徐刚毅
Abstract:
提出一种基于耦合双光栅的太赫兹量子级联(THz-QC)线激光器, 其在液氮温度以上连续波(CW)模式工作并具有低发散角的高斯型光束。器件采用窄脊宽的双金属(MM)波导,用于降低功耗并提升散热效率。通过设计光栅的能带结构,使激光器具有两个超模。超模1以光栅1作为主控震荡器,光栅2作为相控天线阵列提供准直的波束辐射;超模2以光栅2作为主控振荡器提供准直光束,光栅1提供高反射率。两超模均具有高的品质因子与小光束发散角,这能显著缩短腔长并降低功耗。通过实验,可以观察到两个超模,产生发散角为12°×18°、光功率为1.04 mW的准直的高斯光束。器件阈值功耗与热阻分别低至2.62 W与8.5 mK/W/cm2,最高CW工作温度为78.0 K。本文深入研究了耦合双光栅系统中模式调控的机制,并为实现,小发散角,低功耗,高散热效率的太赫兹量子级联激光器(THz-QCL)提供了更易达成的途径,并使之在更高温度下的CW工作具有更好的性能。
-
弱电离区场增强的Ge基PIN结构阻挡杂质带红外探测器
刘赤县, 陈天业, 王泽欣, 胡清智, 窦伟, 刘晓艳, 凌静威, 潘昌翊, 朱家旗, 王鹏, 邓惠勇, 沈宏, 戴宁
Abstract:
本文研制了一种新型的锗(Ge)基阻挡杂质带(Blocked-impurity-band,BIB)红外探测器,采用平面型PIN结构,并利用近表面处理技术制备探测区和电极接触区。探测器展示了显著的整流特性,在反向偏压下具有极低的暗电流,且工作温度可提升至15 K。在该温度下,探测器在0 ~ - 5 V反向偏置电压范围内,黑体探测率基本稳定在6 × 1012 cm·Hz1/2·W-1。通过能带结构分析,详细讨论了探测器的暗电流机理以及温度变化对光响应的影响,提出了基于低温弱电离区的工作原理。此外,还对探测器的黑体响应率、黑体探测率进行了系统测试,并揭示了探测器在更高工作温度下维持高性能的机制。本研究为Ge基BIB探测器的温度性能提升提供了创新的思路,并为未来红外探测器的设计和应用提供了理论依据和实验数据支持。
-
量子阱长波红外探测器混周期光栅对响应带宽的影响
Abstract:
响应带宽的拓展是量子阱红外探测器发展的一个重要方向。采用峰值响应波长为10.55 μm的量子阱材料,优化了30 μm中心距的量子阱红外探测器的衍射光栅结构,在同一光敏元内混合了周期为2.80、3.50和4.25 μm三种光栅结构,得到了六种不同组合的混周期光栅。响应光谱测试表明,相比于单一周期光栅,混周期光栅的响应带宽最多可从1.20 μm拓展到1.91 μm,展宽了60%,而黑体响应率仅下降了12%。
-
InAs/GaSb Ⅱ类超晶格电学特性的研究
Abstract:
为了研究InAs/GaSb Ⅱ类超晶格的电学特性,在GaSb衬底与InAs/GaSb Ⅱ类超晶格外延材料之间生长了一层晶格匹配的AlAsSb电学隔离层,抑制了衬底的导电效应。通过变温霍尔测试结果表明,未掺杂的超晶格呈现N型导电。随着P型掺杂浓度的增加,出现了补偿掺杂现象,并且在95 K和230 K分别发生了导电类型的转变。转变温度以下呈现P型导电,而转变温度以上则转为N型导电。通过费米能级模型对该现象进行了分析,结果表明,导电类型转变的温度随着掺杂浓度的增加而升高。
-
基于扫描成像的光电器件高分辨缺陷检测技术研究
胡二涛, 刘嘉伟, 邵 鹏, 辛 颢, 蔡清元, 段微波, 陈良尧
Abstract:
光电流扫描成像技术是太阳能电池及光电探测器研究的重要技术支撑,然而振镜驱动光束扫描方式存在扫描范围受限和图像畸变问题。为克服上述弊端,面向大面积光电器件光电响应一致性的检测需求,基于光学组件扫描方式,研制了一套大成像范围、高空间分辨、高稳定性、低成本的光电流扫描成像自动化测试系统,高细分模式可实现亚微米几何定位(细分数6400,扫描步长0.625 ?m),兼顾了大范围和高分辨率的样品扫描测试需求,且整体结构简单,极大降低了扫描成像系统的成本。使用表面覆盖有“南”字白纸和光栅条掩模板的硅光电池样品,证明扫描范围大于10×10 mm2,空间分辨率可达0.6 ?m。对Cu2ZnSnS4和Cu2ZnSn(S, Se)4太阳能电池的表面光电流图像进行了表征,证明Cu2ZnSnS4电池存在较多缺陷,而Cu2ZnSn(S, Se)4电池表面光电响应均匀,缺陷较少,这些结果有助于改进电池的制备工艺。
-
InAs/GaSb Ⅱ 类超晶格长波焦平面红外探测器应力适应性研究
薛勇, 徐庆, 黄敏, 王珍, 梁钊铭, 徐庆庆, 白治中, 陈建新
Abstract:
超晶格长波红外焦平面探测器工作在低温条件下,探测器各层材料之间热膨胀系数的差异会引起探测器形变产生热应力,进而影响探测器的光电性能。本研究设计了两种应力调控方法的结构模型,实现了超晶格探测器应力的调控。探讨了不同应力作用下InAs/GaSb Ⅱ类超晶格长波焦平面红外探测器的暗电流和光谱响应的变化。研究表明在-10.7MPa-131.9MPa应力区间内,探测器光电性能变化幅度小。对探测器进行了温度冲击试验,探测器显示了高可靠性。我们的研究结果对于InAs/GaSb Ⅱ类超晶格长波焦平面红外探测器的结构设计具有指导意义,为其性能和可靠性评估提供依据。
-
叉指型GaAs光电导太赫兹辐射源性能及参数研究
Abstract:
优化光电导天线的基底材料与电极结构对提高其辐射太赫兹波性能至关重要。相比传统光电导天线(Photoconductive antenna,PCA),叉指型光电导天线(Interdigitated photoconductive antenna,IPCA)能够在较小光敏面积内构建多个阵元,辐射性能更优越。本文设计并研制了6种具有不同阵元数目和电极间隙的IPCA,通过金属层遮挡消除相邻电极间的反向电场,对比了IPCA与传统PCA(平行电极天线和蝴蝶结天线)的辐射特性及偏振特性。进一步研究了IPCA的辐射特性随阵元数目、电极间隙、泵浦光能和偏置电场的变化。实验结果表明,40阵元的IPCA相比于单个天线,其THz脉冲辐射幅值提高了30倍。
-
面向光场调控的像素级红外超构透镜阵列设计与制备
Abstract:
超构透镜凭借其独特的光场调控特性以及高度集成化、小型化的显著优势,在轻小型光电芯片一体化成像系统中具有广阔的应用前景。文中设计了面向像素级集成红外焦平面应用的超构透镜结构,采用步进式光刻技术与电感耦合等离子体(ICP)刻蚀工艺相结合的制备方法,通过对气体流量、工作压强、功率等刻蚀参数系统优化,有效地抑制了负载效应,将刻蚀速率的标准差从0.205%降到了0.073%,并制备了面阵规模640×512、像素中心距30 μm、Si柱最大深宽比3.42:1的高均匀性超构透镜阵列,对4.3 μm波长红外光的汇聚焦距为35 μm,焦距处中心区域10 μm和20 μm径向范围内测得的光场汇聚效率分别为66.4% 和84.9%,光场能量较相同面积范围内未集成超构透镜时分别提升了5.98倍和1.91倍。本文将为像素级超构透镜阵列集成红外芯片提供结构设计与工艺基础。
-
2002,21(3):161-166
Abstract:
在结合Mumford-Shah模型和水平集方法中的窄带解法优点的基础上,提出了一种新的图像分割模型。Mumford-Shah模型虽然具有良好的图像分割结果,但是其每次迭代过程都需要对所有图像数据进行计算,因而很费时,导致这种方法不适用于大的图像数据,特别是三维图像的分割。本文通过一种新的初始化方法把Mumford-Shah模型和水平集中的窄带解法结合在一起。这种新 的初始化方法是通过在特定条件下简化快速行进法得到的。通过去除快速步进法中费时的 排序过程,使得初始化的计算时间只有O(N)。窄带Mumford-Shah模型把分割计算限制在窄带范围内,避免了大量的计算,但取得了与原始的Mumford-Shah模型相同的分割效果。实验结果表明基于快速步进法的初始化方法是可行的,而窄一喧M-S分割模型一次迭代计算的时间比原M-S模型减少许多。
-
2003,22(2):132-136
Abstract:
根据粗糙面基尔霍夫小斜率近似研究了脉冲波入射时实际海谱分布的一维分形海面的电磁散射。分析了毫米波入射时不同分维、入射角和入射中心频率下双频散射截面的散射角分布。结果表明分形海面的双频散射截面在镜反射方向有最大的相关带宽,随着海面分维的减小、入射中心频率和入射角的增加,该相关带宽是增大的。对于入射功率为δ函数时的散射波功率是一个具有一定脉冲展宽的散射脉冲,且脉冲展宽与相关带宽成反比关系。
-
2001,20(3):184-188
Abstract:
测量了几种不同处理的Cd1-xZnxTe(x=0.04)表面的傅里叶变换拉曼散射光谱和电流-电压(I-V)特性。通过分析拉曼光谱反Stokes分量,并与表面I-V特性进行比较,结果表明与表面处理相联系的晶格声子的行为反映了表面完整性的变化,Te沉淀是影响表面质量的关键因素,并对有关表面处理方法的实际应用进行了讨论。
-
Fu Y Chiragwandi Z G(o..)thberg P Willander M
2003,22(6):401-405
Abstract:
IntroductionThedevelopmentoflow dimensionalsemiconductormaterialshasbeenextensive[1].Toalargeextent,themodernmicroelectronicsindustryisstilllargelybasedontheconventionaldevicecomponents (withareduceddis cretedevicedimensionfollowingMoore′slaw) ,whereasth…
-
2006,25(3):165-169
Abstract:
利用场发射扫描电子显微镜对TEA-CO2强激光脉冲辐照的Hg0.8Cd0.2Te晶片表面进行了观察,并利用电镜自带的能谱分析仪对其表面进行了成分分析.在单脉冲能量为1.91J,峰值功率密度为2.63×107W/cm2的脉冲CO2激光辐照下,晶片表面呈现出熔融迹象,且晶片表面的化学组分比发生明显的变化.理论与实验研究结果表明激光急速加热使晶体表面的Hg-Te键破坏,从而导致Hg损失,而Hg损失程度与热作用过程的时间有关.随着脉冲作用次数的增加,多脉冲的连续作用使Hg损失加剧,晶片表面成分变化更加突出.
-
2022,41(2):395-412 ,DOI: 10.11972/j.issn.1001-9014.2022.02.004
Abstract:
铜铟镓硒(Cu(In,Ga)Se2, CIGS)太阳电池产业化受到全世界广泛关注。作为高转换效率薄膜电池,其效率可与晶硅电池相比,目前最高效率达到23.35%。对于小面积实验室电池而言,研究重点是精确控制吸收层的化学计量比和效率;对于工业化生产而言,除化学计量比和效率外,成本、重现性、产出和工艺兼容性在商业化生产中至关重要。重点介绍了不同制备工艺、吸收层组分梯度调控、碱金属后沉积处理、宽带隙无镉缓冲层、透明导电层和柔性衬底等研究进展。从CIGS电池的效率来看,将实验室创纪录的高效电池技术转移到平均工业生产水平带来显而易见的挑战。
-
2023,42(2):169-187 ,DOI: 10.11972/j.issn.1001-9014.2023.02.005
Abstract:
光电探测器在许多应用中发挥着关键作用,例如遥感、夜视、侦察、医学成像、热成像和化学检测。随着光电探测任务的逐渐复杂化,工作在不同波段的光电探测器逐渐被集成用于对同一场景的宽光谱探测。受限于集成系统的体积和任务模块,常规的宽谱探测任务往往需要多个不同波段的探测器协同工作,极大增加了系统复杂度,因此具有超宽带探测(紫外-可见-红外-太赫兹)能力的光电探测器逐渐成为国际研究的前沿热点。但是迄今为止,有关超宽带光电探测器的综述还没有见诸报道。因此,本文系统整理了超宽带光电探测器在过去十年的研究进展。文章首先介绍了衡量光电探测器响应性能的指标以及常见光电探测器的主要类型,在此基础上重点回顾了不同类型超宽带光电探测器的研究进展、发展现状、面临的挑战,并展望了未来的研究方向。
-
2002,21(3):175-179
Abstract:
采用溶胶-凝胶法在石英玻璃衬底上制备出均匀透明的无定形PbTiO3薄膜,并对其 光学性质进行了详细的研究,发现其折射率的波形符合经典的Cauchy函数。由半导体理论计算得到无定形的PbTiO3薄膜的光学禁带宽度为3.84eV.FTIR透射光 谱研究表明无定形PbTiO3薄膜在中红外波段没有吸收峰出现,对于在550℃下 快速热退火得到的PbTiO3薄膜,通过远红外反射光谱测量,观察到了6个约外活性声子膜。
-
2002,21(3):189-194
Abstract:
从偏差-方差模型出发,提出了一种通过模糊规则推理动态调整正则项系数的新方法,并有效地确定了模糊推理规则和隶属度函数,并将该方法与BP算法和固定正则项系数的方法进行了比较,该方法具有精度高、收敛快和泛化能力高等优点,通过实例表明了该方法的有效性。
-
2019,38(1):79-90 ,DOI: 10.11972/j.issn.1001-9014.2019.01.014
Abstract:
随着石墨烯产业的蓬勃发展,氧化石墨烯作为制备工程化应用石墨烯的中间体产物而备受关注。同时由于其自身优异的物理化学性质,使其在各大领域均有前所未有的新兴应用。针对国内外氧化石墨烯的各种结构模型、制备方法、性质和相关应用,以及氧化石墨烯的还原进行了总结与概述。在对比各种方法的基础上,提出了氧化剂和还原剂的选择是反应的关键要素,归纳了选择的基本原则。最后,指出氧化石墨烯制备和还原研究中还需解决的问题,并对其发展和影响做出了评价和展望。
-
叶振华, 李辉豪, 王进东, 陈星, 孙常鸿, 廖清君, 黄爱波, 李辉, 周松敏, 林加木, 潘建珍, 王晨飞, 陈洪雷, 陈路, 魏彦锋, 林春, 胡晓宁, 丁瑞军, 陈建新, 何力
2022,41(1):15-39 ,DOI: 10.11972/j.issn.1001-9014.2022.01.001
Abstract:
红外光电探测技术通常工作在无源被动的传感模式,具有作用距离远、抗干扰性好、穿透烟尘雾霾能力强、全天时工作等优点,在航天遥感、军事装备、天文探测等方面都有广泛应用。至今,二代、三代红外光电探测器已大规模进入装备,高端三代也在逐步推进实用化,并出现了前沿前瞻性的新概念、新技术、新器件。本文聚焦国内外的红外技术研究现状,重点介绍红外光电探测器当前的研究热点与未来的发展趋势。首先,介绍针对战术泛在化、战略高性能的SWaP3概念。其次,综述以超高空间分辨率、超高能量分辨率、超高时间分辨率、超高光谱分辨率为特征的高端三代红外光电探测器,分析挑战光强探测能力极限的红外探测器的技术特征与实现方法。然后,论述基于人工微结构的四代红外光电探测器,重点介绍偏振、光谱、相位等多维信息融合的实现途径与技术挑战。最后,从片上数字化升级为片上智能化的角度,探讨未来极具变革性趋势的红外探测器。
-
2001,20(6):442-446
Abstract:
利用Thompson变换在任意形状的散射体外部产生共形的外部计算网络,并使FDTD计算区域的截断边界与散射体边界形状完全一致,时域不变性测试方程(MEI)方法被作为该截断边界上的局域吸收边界条件,从而大大压缩了FDTD的计算空间。数值试验结果证实,该方法可在不降低计算精度的前提下减少计算机内存需求。
-
2010,29(1):53-56
Abstract:
研究了用近红外光谱法快速定性和定量检测纯牛奶中三聚氰胺.实验分别配制了两组不同三聚氰胺含量的纯牛奶样品,用于定性和定量分析.通过近红外光谱与聚类分析法相结合,可将含有和不含有三聚氰胺的牛奶样品有效分类;结合光谱预处理和波长选择及模型优化方法建立的检测三聚氰胺的近红外定量分析模型具有较好的稳定性和预测能力.结果表明,近红外光谱分析是一种快速、方便和环保的检测乳制品中三聚氰胺的新方法.
-
2016,35(5):600-609 ,DOI: 10.11972/j.issn.1001-9014.2016.05.015
Abstract:
传统的火点检测算法通常利用高温地物在中红外波段或热红外波段的高发射率特性来提取火点, 然而受制于影像空间分辨率的限制如MODIS、AVHRR等, 使得很多小规模火情现象被漏检.研究发现短波红外数据也同样能被用于高温地物的识别和检测, 并且相较于热红外波段数据对低温和高温地物的区分度更大, 在精确识别和定位高温目标方面更加准确.文章利用空间分辨率为30米的Landsat-8 OLI传感器数据, 根据高温火点在近红外及短波红外波段的波谱特性, 利用改进的归一化燃烧指数(NBRS)结果自适应地确定阈值来提取疑似火点, 然后再利用高温火点在短波红外的峰值关系进行误检点剔除, 从而得到最终的火点产品.提出的算法能检测到所占像元面积10%左右的火点, 并能够有效地排除云层及建筑物的干扰, 在保证较低漏检率的同时还能达到90%左右的准确率, 相比于传统算法的火点提取精度有很大的提高.
-
2001,20(2):111-116
Abstract:
描述了给定幅度分布和功率谱密度多种杂波仿真方法,给出了仿真实验结果,及在杂波环境下雷达目标频域散射中心的数学模型,并研究了该数学模型的求解方法,还给出了仿真数据和飞机缩比模型测量数据的实验结果。
-
2006,25(2):113-117
Abstract:
粒子滤波(Particle Filter)是一种处理非线性和非高斯动态系统状态估计的有效技术.提出了一种基于粒子滤波的红外目标稳健跟踪新方法.在粒子滤波理论框架下,红外目标的状态后验概率分布用加权随机样本集表示,通过这些随机样本的Bayesian迭代进化实现红外目标的跟踪.系统状态转移模型选择为简单的二阶自回归模型,并自适应地确定系统噪声方差.红外目标的描述利用目标区域的灰度分布,该灰度分布通过核概率密度估计建立.通过计算参考目标的灰度分布和目标样本的灰度分布之间的Bhattacharyya距离,建立系统观测概率模型.实验结果表明该方法是有效的和稳健的.
-
2001,20(3):207-210
Abstract:
给出了一种新的基于多尺度分解的像素级图像融合方法。该方法利用小波变换对每一图像进行多尺度分解,按照不同的融合规则,采用多种融合算子去构造融合图像对应的各小波系数,再根据融合图像的各小波系数重构融合图像。该方法被成功地用于红外与可见光图像的融合处理。实验结果表明该融合方法十分有效,获得的融合图像更符合人们的视觉特性、更有利于机器视觉。
-
2002,21(2):151-155
Abstract:
根据相对论返波管(RBWO)的非线性理论,数值模拟了耦合阻抗单步跃变型RBWO效率与束流参量、耦合阻抗跃变位置、高低耦合阻抗比值的依赖关系,结果表明器件最优化效率可达到50%.设计制造了一个X波段高功率耦合阻抗单步跃变型RBWO,运用全电磁粒子模拟程序仿真了器件中注波互作用过程,预见出器件功率、效率、频率等性能参量.在电子注电流、注加速电压、互作用区长度相同的实验条件下,测得变阻抗器件实验效率约为均匀阻抗型器件效率的2倍.
-
2001,20(3):169-173
Abstract:
利用共焦显微镜纵向扫描采样手段,发展了一种空间分辨(深度剖析)光谱方法进行荧光光谱和拉曼光谱的甄别以及它们相应跃迁的指认。利用荧光的自吸收现象,成功地甄别了Nd:YAG晶体中拉曼和荧光光谱,并详尽指认了荧光光谱线的相应跃迁归属。























































































































































































































































































































































































































































































































































































































































































































































